リキタケ歯科医院

池袋 歯周病治療専門サイト 日曜日(休日診療) 平日夜21時まで診療

ご相談・ご予約 TEL:03-3980-4618 ご相談・ご予約は
TEL:03-3980-4618
歯周病相談室[治療と予防]

歯周病相談室[治療と予防]

早期の治療と予防に心がけましょう。25歳〜34歳で、約75% 35歳〜64歳で、約80%の方が「歯周病」にかかっています。


アドバイス
自宅でできる口腔ケア
歯周病 Q&A
インプラント専門サイト
リキタケ歯科  メインサイト
インフォメーション
診療時間 月〜金10:00〜13:30 15:00〜22:00、土・日10:00〜13:00 14:00〜17:00、休診日 祝日
アクセス JR池袋駅東口・西武口から徒歩1分
機能水(次亜塩素酸水)
を使用しています。
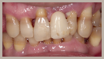
歯周病の進行と症状


歯肉炎と歯周炎

【歯肉炎】
プラークが歯に付着し始めてから2~4日で歯肉表面には急性の炎症がおこります。炎症が歯肉に限局している間は歯肉炎で、ブラッシングを中心とした口腔ケアの指導や生活習慣の改善により、元の状態に戻ります。

歯肉炎
【歯周炎】
炎症がさらに波及すると、歯槽骨や歯根膜が破壊されていきます。歯周炎には進行中にほとんど症状の現れない時期(静止期)と、激しい急性炎症と歯周組織の破壊が生じる時期(活動期)が繰り返し起こります。
一般には、10代後半から歯肉炎を生じ、30代以降で徐々に歯周炎へと進行していきます 。
歯周炎


歯周病ってこんな病気です
歯周病は歯を支える骨や歯ぐきに炎症が起きて、初期症状としては腫れぼったくなったり、歯磨きをすると血が出たりします。進行すると炎症症状が強くなり、膿がでたり、口臭がきつくなり、さらに進行すると歯が揺れて、硬いものが噛めなくなり、ついには歯が抜けてしまう病気です。
歯周病が怖いのは、自覚症状がないままに徐々に病気が進行して、気づいたころには症状が進行してしまっていたり、治療のほどこしようのない状態になってしまっていることが多い事です。

歯周ポケット内にプラークや歯石が付着した状態が続くと歯肉が炎症を起こします。
歯肉は腫れ、赤くなり丸みを帯び、ブラッシングやフロスで出血します。(歯肉炎)
歯周ポケットの深さは2~3mm程度。
この段階では、結合組織付着の喪失はみられません。
その為に、ブラッシングやスケーリング(歯科医院で行う歯石除去)などで健全歯肉にもどることが可能です。

【歯周病初期】
歯肉炎から、さらに細菌感染が進んだ状態です。
歯肉の炎症は歯肉炎時とほぼ同様。ブラッシングやフロスで出血します。
細菌感染の進行により歯の周囲の結合組織付着が喪失し、より細菌感染が進行しやすい状況になります。破壊された結合組織付着は、元には戻りません。この時点で歯周病だという自覚症状は、ほぼありません。
歯周ポケットの深さは3~4mm程度。

【歯周病中期】
歯肉の炎症はさらに進み、赤みが増し腫れぼったくなります。歯周組織の破壊もさらに進行し、骨の破壊を伴い、歯周ポケットは深くなっていきます。ブラッシングやフロスでの出血が多くなり、深くなったポケットには歯石が堆積し悪化します。
人によっては歯周病の進行を、口臭や歯肉からの出血で自覚します。歯周ポケットの深さは4~5mm程度になります。

【歯周病重度】
歯肉の炎症はますます進み、赤くブヨブヨとした歯肉になります。それと同様に歯周組織の破壊も加速し、歯の支持している骨が破壊され、歯を支持する骨が少なくなります。
歯肉は若干退縮しますが、歯周病重度でも進行に気づきにくい場合もあります。ブラッシング時には、出血だけでなく膿が出ることもあり、また、強い口臭などの症状も認められます。歯周ポケットの深さは5mm以上になります。

【歯周病末期】
歯肉は赤紫色に腫れ上がり、少し触れただけで痛みを感じ、直ぐに出血したり膿が出ます。口臭もさらに強くなります。
歯周組織の破壊と同様に歯肉も退縮し、歯が長くなったように感じ、歯と歯の隙間も目立つようになります。歯を支える骨が極端に減少し、歯が揺れてきます。歯が動揺することで強く咬むことができなくなります。そのまま 放置すると歯が抜け落ちることもあります。

歯周病は感染症です。歯周病原因菌がどこからか口腔内に感染することから 歯周病は始まります。生まれて来た子供の口の中には、歯周病細菌はまったく存在しません。ほとんどの場合、家族間から感染すると考えられています。

子供の口腔内は まだ細菌グループが安定しておらず、健康な細菌のグループが定着していないため外来から虫歯原因菌や歯周病原因菌の感染を起こします。また、抗生物質を長期使用していた場合などは、口腔内の健康な細菌のグループがいったんなくなるため、 新たに細菌の環境がそろう前に感染する可能性があります。私達は一般的な生活をしている中では細菌感染を完全に防ぐことはできません。
成人型の歯周病菌の代表的な菌である『バクテロイデス・ジンジバリス菌』は、親子や夫婦から感染することが多いと考えられています。これが、通常 大人で起る『歯周病(慢性歯周炎)』です。

歯周病治療のための細菌除去とは、全ての菌を除去するのではなく、骨を溶かしたりしている細菌のみを除去し、 後は新たな菌の感染を防ぎ、細菌とうまく共存していくことです。
口腔内にまったく細菌がいなくなるというわけではありません。つまり外来から感染したとしても 歯周病が進行しないような 免疫力の高い口腔内環境を保つことが大切なのです。特に、骨を溶かすような 歯周病菌が繁殖しやすい場所は 歯周ポケットが深い場所です。
歯周ポケットが深い場所は、酸素供給が少なく歯周病原因菌が生活するのに非常に適した場所となっています。
こうした細菌増殖に適した場所をなくして、後はブラッシングにより新たにポケット内に感染しにくい環境を作ることが最も大切なこととなります。


基本に沿った治療が一番確実
歯周病治療は民間療法も含め様々な治療法が乱立していますが、基本に沿った治療法に勝るものはありません。
歯周病は生活習慣病で、長年かけて徐々に進行する病気なので、保険治療の流れで一歩一歩治療していくことをお勧めします。
歯周病治療に特効薬はありません。


ページトップ